Prosthodontics, Restorative and Cosmetic Dentistry
Prosthodontics, Restorative and Cosmetic Dentistry
Crowns, Bridges, Dentures, Dental Implants, Dental Bonding and more…
Restorative & Prosthodontic Dentistry
Restorative dental treatment options can conserve and improve the health and appearance of your existing teeth and effectively repair teeth that have defects, due to tooth decay (cavities), dental trauma or dental developmental problems.
Prosthodontic (complex) dental procedures are more advanced restoration treatment requirements. Included in this area is the management of missing teeth or teeth that are about to be lost.

Tooth Restorations
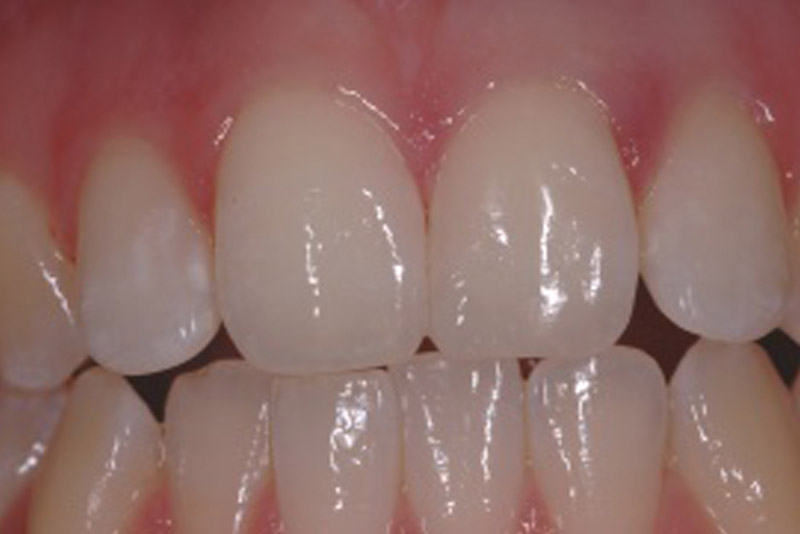
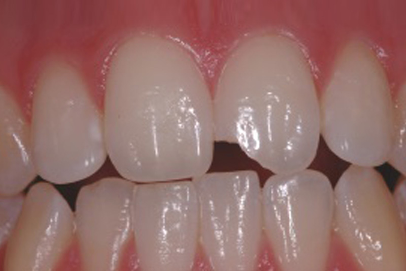
When the repair of a tooth involves placing the replacement material within the body of the tooth, this is commonly called a filling, inlay, or bonded filling procedure. View the Case Study.
When the tooth is too damaged, worn, or misshapen to be simply repaired, its restoration is frequently accomplished using the remaining tooth structure as a support, or stump, to receive a cap, crown, or veneer.
.
Tooth Replacements
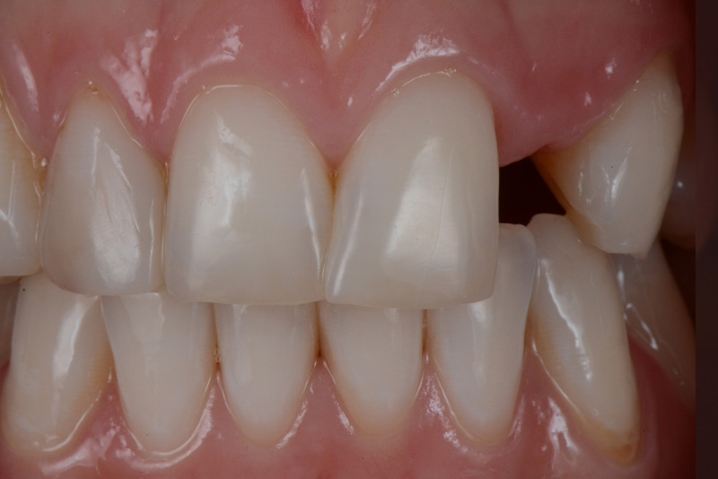
When replacement of a tooth or a number of teeth is necessary, this can involve the placement of a dental bridge, a dental implant or occasionally a partial or complete denture. View the Case Study
A dental bridge tooth replacement involves the preparation of teeth on either side of the tooth to be replaced. Strong tooth support is required for successful bridge placement.
A dental implant is a titanium implant, placed in favourable location, with sufficient bone available to support the implant. A series of specific criteria are required for optimal implant placement and the detail required is discussed, prior to implant treatment being undertaken.
An implant crown is then placed on the implant, a least three months later (in most cases), prior to completion of the dental implant restoration. Partial or complete dentures can be used as another restorative treatment option. With the advancement of technologies in digital dentistry, denture options are substantially more acceptable now. However, complete dentures are more favourably selected as treatment options when they are supported by precisely located dental implants. This substantially increases denture stability, specifically related to eating and food selection. Patient confidence related to wearing an implant-supported denture is typically associated with denture stability.
Complete dentures are provided as a service for patients with no remaining teeth. Many dentures can be supported by dental implants to stabilise them and improve their comfort and wearability. View the Case Study
Seeing a Restorative Dentist / Prosthodontist at the Beacon Dental Clinic
This is important for anyone who is concerned about night-time tooth grinding and jaw clenching. We provide a detailed and comprehensive assessment and overview of existing treatments and risks. We can identify and discuss these problems or listen to your concerns. We can discuss your treatment options for maintaining or improving the overall health and appearance of both your teeth and your general oral health.
View our Consultation information or Contact us
Dental Treatments Available include:
- Comprehensive analysis and reporting of your current dental status and dental risk indicators
- Provision of a full range of restorative and prosthodontic treatment options
- Appropriate dental outcome reviews
- On-going dental management program